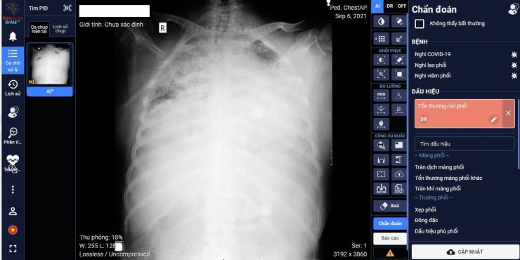
Bệnh viện Quận 11 triển khai sử dụng phần mềm chụp X-quang ngực thẳng có ứng dụng trí tuệ nhân tạo (AI DrAid™) với mục tiêu hỗ trợ khám sàng lọc, chẩn đoán, theo dõi, điều trị và tiên lượng người bệnh trong suốt thời gian F0 điều trị tại Bệnh viện.
![]() |
![]() |
Các bệnh nhân đến Bệnh viện sẽ được thực hiện chụp X-quang ngực định kỳ trong thời gian đến khám và điều trị thì phần mềm trí tuệ nhân tạo AI sẽ hỗ trợ cho các bác sĩ lâm sàng việc chẩn đoán bệnh và giúp tiên lượng tình trạng bệnh tốt hơn hoặc xấu đi dựa trên việc khoanh vùng tiến triển các tổn thương trên phim phổi. Các quy trình chụp Xquang ngực được đảm bảo nguyên tắc kiểm soát nhiễm khuẩn và không để lây lan mầm bệnh Covid-19.
Điều này sẽ giúp các bác sĩ điều trị kịp thời có phương án ưu tiên xử lý các trường hợp có tiên lượng xấu (ngay cả khi không có biểu hiện các triệu chứng bất thường bên ngoài) nhằm giảm thấp tử vong của người bệnh.


Từ ngày 02 tháng 6 năm 2021 đến nay, tổng số 5.537 ca chụp X-quang tại Bệnh viện với ứng dụng phần mềm AI. Tất cả các ca phân tích trên phần mềm trí tuệ nhân tạo đều phù hợp đến hơn 99% so với chẩn đoán của bác sĩ chuyên khoa Xquang. Kết quả phân tích như sau:
- 2.341 ca chẩn đoán bệnh Covid-19 chiếm tỉ lệ 42,3%.
- 86 ca nghi nhiễm Covid-19 chiếm tỉ lệ 1,6%.
- 1.148 ca có bất thường về của tim, phổi và màng phổi khác cũng như các thiết bị y tế trên lồng ngực chiếm tỉ lệ 20,7%.
- 1.962 ca bình thường chiếm tỉ lệ 35,4%.
Chụp Xquang kỹ thuật số có sử dụng phần mềm ứng dụng trí tuệ nhân tạo (AI) trong hỗ trợ chẩn đoán, tiên lượng bệnh nhân Covid-19 trong giai đoạn hiện nay có ý nghĩa thực tiễn, khoa học, hiện đại và có tính chính xác rất cao. Từ đó mang ý nghĩa kinh tế và xã hội to lớn vì giúp giảm chi phí, đưa ra cảnh báo chính xác nguy cơ mắc bệnh Covid-19, từ đó giúp giảm nguy cơ lây nhiễm cộng đồng và hỗ trợ giảm thấp tỉ lệ tử vong khi được điều trị đúng và kịp thời

