
Phẫu thuật thay khớp háng nhân tạo thành công cho một trường hợp bị hoại tử chỏm xương đùi tại BV quận Gò Vấp
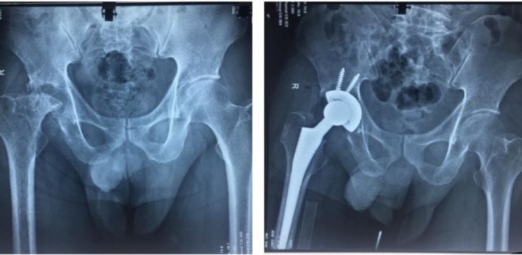
Một người dân 53 tuổi, cư ngụ tại quận Gò Vấp đến bệnh viện quận Gò Vấp khám vì tình trạng đau nhức khớp háng bên phải gây hạn chế vận động, di chuyển kéo dài khoảng 1 năm nay. Sau khi được thăm khám và chụp X-quang kiểm tra, bác sĩ phát hiện người bệnh bị hoại tử chỏm xương đùi phải, có chỉ định thay khớp háng nhân tạo.
Nếu như theo quy trình khám, chữa bệnh bình thường của bệnh viện từ trước đến nay, bác sĩ của BV quận Gò Vấp sẽ giới thiệu và chuyển người bệnh lên bệnh viện tuyến trên của thành phố để được điều trị. Nhưng trong trường hợp này thì khác, bác sĩ đã mạnh dạn theo một hướng xử trí khác, đó là tiến hành liên hệ hội chẩn với các bác sĩ chuyên khoa Chấn thương Chỉnh hình (CTCH) của BV Nhân Dân Gia Định (NDGĐ).
Cũng theo cách làm mới này, các bác sĩ của BV NDGĐ sau khi hội chẩn cũng không nhận người bệnh về bệnh viện để điều trị như trước đây, thay vào đó, các bác sĩ chuyên khoa CTCH của BV NDGĐ đã cùng với các bác sĩ của BV quận Gò Vấp thảo luận và thống nhất lên phương án tiến hành phẫu thuật thay khớp háng nhân tạo ngay tại bệnh viện quận Gò Vấp, do chính ê-kíp phẫu thuật của BV NDGĐ thực hiện.
Kết quả là người bệnh đã được các bác sĩ chuyên khoa CTCH của BV NDGĐ phẫu thuật ngay tại BV quận Gò Vấp, sau phẫu thuật, người bệnh tiếp tục được theo dõi và điều trị phục hồi chức năng tại khoa CTCH của BV quận Gò Vấp.
Hình ảnh trên đây có thể xem là bước khởi động của một chương trình chuẩn bị được ký kết giữa BV NDGĐ và BV quận Gò Vấp, theo đó, BV NDGĐ sẽ hỗ trợ toàn diện cho BV quận Gò Vấp, cả về chuyển giao kỹ thuật và chia sẽ kinh nghiệm quản trị bệnh viện.
Nâng cao năng lực các bệnh viện quận, huyện (bệnh viện tuyến 2) tiếp tục được Sở Y tế xác định là một trong những hoạt động trọng tâm của Ngành Y tế Thành phố. Trong những năm qua, bên cạnh nhiều bệnh viện quận, huyện đã có nhiều tiến bộ đáng ghi nhận nhờ tiếp nhận chuyển giao kỹ thuật của các bệnh viện thành phố, đã tạo được niềm tin và thu hút người dân đến khám, chữa bệnh góp phần giảm tải cho các bệnh viện thành phố (bệnh viện tuyến 1). Tuy nhiên, vẫn còn đó một số bệnh viện quận, huyện còn gặp không ít khó khăn cả về phát triển chuyên môn lẫn công tác quản trị bệnh viện, điều này không những gây tác động không nhỏ đến công tác chăm sóc sức khoẻ người dân trên địa bàn mà còn tác động lên chính tâm tư và suy nghĩ của đội ngũ nhân viên y tế của bệnh viện. Trong bối cảnh đó, giải pháp BV thành phố hỗ trợ toàn diện cho BV quận, huyện đang gặp khó khăn bước đầu cho thấy tính hiệu quả của nó, cụ thể như BV quận 9 (cũ), BV huyện Bình Chánh, BV huyện Nhà Bè, BV quận 7, những bệnh viện này đã có những bước phát triển bền vững khi nhận được sự hỗ trợ toàn diện của BV Nhân dân Gia Định, BV Nhân dân 115, BV quận 2 (hạng 1), BV quận Thủ Đức (hạng 1).
Và nay, đến lượt BV quận Gò Vấp bắt đầu tiếp nhận sự hỗ trợ toàn diện từ BV NDGĐ, và trong thời gian tiếp theo, còn nhiều hoạt động thiết thực sẽ được BV NDGĐ triển khai ngay tại BV Gò Vấp (từ những bài học kinh nghiệm rút ra qua thời gian hỗ trợ toàn diện cho BV quận 9 trước đây). Tuy nhiên, yếu tố quyết định cho sự thành công luôn đòi hỏi từ sự chủ động của BV được hỗ trợ.

Các bác sĩ chuyên khoa Chấn thương Chỉnh hình của Bệnh viện Nhân dân Gia Định cùng với các y, bác sĩ của Bệnh viện quận Gò Vấp phẫu thuật thay khớp háng