Ngày 26/12/2019, Bệnh viện Quận 11 đã tiến hành lấy dị vật vỏ thuốc thành công cho bệnh nhân nữ Đ.U.L. 41 tuổi vào viện trong tình trạng đau tức ngực sau xương ức do nuốt phải vỏ thuốc còn nguyên vỏ.
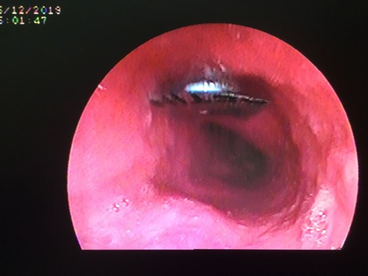
Chiều ngày hôm trước, bệnh nhân vào Khoa Cấp cứu trong tình trạng đau tức ngực sau xương ức do nuốt phải vỏ thuốc còn nguyên vỏ. Sau đó, bệnh nhân được chuyển vào phòng Nội soi để tiến hành nội soi, chẩn đoán cho thấy dị vật viên thuốc còn nguyên vỏ kích thước 9 x 9mm, hình vuông cạnh sắc bén như dao ở thực quản đoạn giữa, có nguy cơ gây thủng thực quản vào trung thất có thể dẫn đến tử vong.

Để tránh nguy cơ viên thuốc sặc vào phổi, Đơn vị Nội soi mời bác sĩ Khoa Gây mê hồi sức tiến hành tiền mê để nội soi gắp dị vật an toàn cho bệnh nhân. Do dị vật sắc bén nên ê kíp bác sĩ phải dùng chụp dị vật bằng silicon để bao dị vật tránh chảy máu và thủng thực quản khi kéo dị vật ra ngoài.
Trong năm 2019, Đơn vị Nội soi tiêu hoá - Bệnh viện Quận 11 đã tiến hành lấy thành công dị vật đường tiêu hoá như: dị vật thuốc còn nguyên vỏ, tăm tre, xương đầu heo nấu cháo, viên đá ngậm chữa bệnh của Đài Loan.
Theo bác sĩ Đinh Trọng Toàn, phụ trách Đơn vị Nội soi tiêu hoá, Bệnh viện Quận 11 - khuyến cáo khi uống thuốc người dân cần tập trung không nên nghe điện thoại và không nói chuyện với người khác. Thuốc nên để nguyên vỉ, khi uống lấy từng viên ra uống, không nên cắt rời từng viên hình vuông hay hình thoi khi uống, nếu quên không bóc vỏ sẽ rất nguy hiểm.

Cần tránh những thói quen không tốt như ăn xong ngậm tăm, nằm võng ngủ quên.
Bác sĩ Toàn cũng lưu ý khi người dân nấu cháo đầu heo thì phải luộc kỹ xương heo rồi vớt xương ra rửa sạch loại bỏ xương nhỏ. Khi ăn nên ăn từ tốn, ăn xương riêng, cháo riêng. Ăn cháo bằng muỗng nhỏ nhai kỹ không thấy xương mới nuốt, tránh húp cháo bằng tô.