Bệnh u ống tuyến mồ hôi là một u da lành tính, thuộc phần phụ của da, hình thành bởi sự phát triển quá mức của các tế bào ống tuyến mồ hôi hoặc do đáp ứng tăng sản quá mức của tuyến với phản ứng viêm trong cơ thể (thường là tuyến mồ hôi thông thường - eccrin glands). Bệnh gây ảnh hưởng nhiều đến thẩm mỹ.

Nguyên nhân gây bệnh
Nguyên nhân của bệnh chưa rõ. Một số yếu tố thuận lợi:
- Mùa hè, môi trường làm việc có nhiệt độ cao.
- Stress.
- Hormone sinh dục đặc biệt là progessteron.
- Bệnh có tính chất gia đình.
- Tỉ lệ bệnh tăng cao trong hội chứng Down.
Bệnh gặp ở nữ nhiều hơn nam. Bệnh thường xuất hiện ở tuổi từ 30 đến 40 tuổi, đôi khi xuất hiện ở lứa tuổi thanh, thiếu niên.
Biểu hiện
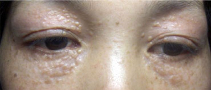
- Các sẩn nhỏ, chắc, bề mặt phẳng, kích thước 1 - 5mm, cùng màu với màu da, một số ít có màu vàng, nâu nhạt, hoặc sáng màu hơn.
- Tổn thương xuất hiện với số lượng nhiều, phân bố có tính chất đối xứng, tập trung một số vùng nhất định.
- Vị trí thường gặp: quanh mắt, mi dưới, gò má, trán, cổ, nách, ngực, bụng, đùi, vùng mu, sinh dục… Tổn thương có thể vài sẩn đơn độc, cũng có khi lan tỏa.
Điều trị
Điều trị với mục đích là loại bỏ thương tổn và tư vấn kỹ cho người bệnh. Hiện nay có nhiều phương pháp điều trị u ống tuyến mồ hôi, mỗi phương pháp có ưu nhược điểm riêng và cho kết quả khác nhau tùy trường hợp.
Điều trị nội khoa bằng thuốc bôi và thuốc uống ít có tác dụng: trichloroacetic acid (TCA), isotretionin bôi và uống…
Điều trị ngoại khoa: có thể loại bỏ hoàn toàn bệnh nhưng dễ gây sẹo, chỉ nên áp dụng diện tích nhỏ.
Điều trị bằng thủ thuật: Laser CO2, đốt điện, áp nitơ lạnh, mài da, Laser Er: YAG bóc tách.
Laser CO2 để bóc bay tổ chức u ống tuyến mồ hôi. Tùy từng vị trí và độ sâu tổn thương mà có các hiệu quả điều trị khác nhau. Với những u nhỏ, kết quả điều trị tốt, tính thẩm mỹ cao. Với những u lớn, muốn loại bỏ hoàn toàn có nguy cơ để lại sẹo.
Phan Thị Thùy Thao
Khoa Da liễu, Bệnh viện Quận 11